دکتر سرچاهی متخصص ارتوپدی بیمارستان حضرت زهرا (س) فریمان ،
در گفتگو با روابط عمومی شبکه بهداشت و درمان فریمان افزود:
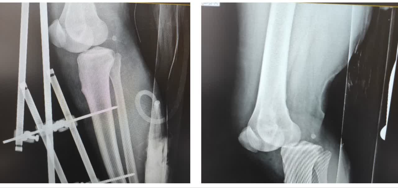
بیمار آقای ۳۱ ساله که بدنبال سقوط از ارتفاع دچار در رفتگی خلفی زانو راست شده بود
که پس از پذیرش در بیمارستان و تشخیص بموقع پزشک محترم اورژانس و اطلاع به
سرویس ارتوپدی بیمار در کمتر از 30 دقیقه به اتاق عمل منتقل شده.تحت جا اندازی
و تعبیه اکسترنال فیکساتور و بازگشت نبض قرار گرفت. خوشبختانه عمل با موفقیت انجام شد
و حال بیمار نیز خوب است ایشان ضمن تشکر از کلیه همکاران بیمارستان حضرت زهرا (س)
و بخصوص مسئول اتاق عمل سرکار خانم معصومی و پزشک متخصص بیهوشی سرکار خانم دکترحجازی
که در اسرع وقت شرایط را برای عمل فوق اورژانسی بیمار فراهم آوردند قدردانی نمودند.
# روابط عمومی شبکه بهداشت و درمان فریمان#

